イデア矯正歯科には川崎市中原区の患者様のほか、川崎区、幸区、高津区、宮前区、多摩区、麻生区の患者さん矯正治療していただいております。また、登戸、宿河原、久地、津田山、武蔵溝ノ口、溝ノ口駅、武蔵新城、武蔵中原、武蔵小杉、向河原、平間の患者さんも南武線、東急田園都市線、東急東横線、東急目黒線のご利用で大変便利です。
治療例
多くのホームページで各種症例の治療例が載せられていますが、写真を見て自分と似ているからといって、同じ治療方法、同じ治療期間で治療が進むとは限りません。
こちらのホームページにおいては、「このように治るんだ」という部分ではなく、「同じ状態に対しても、いろいろな治療方法があるんだ」という部分を知っていただけたらと考えています。
このページでは「反対咬合」に対する治療方法を9例載せています。
各症例の<続きを見る>ボタンを押していただくと、症例の詳細ならびに参考治療費が記載されていますが、金額は消費税5%時のものです。消費税8%計算にあわせての書き直しはあえて行なっておりません。(2014年2月追記)
基本料金、装置料金の更新を2019年1月に行いました。詳細は検査後の説明となりますが、概算は初診時にお伝えしています。
学会指導に応じリスクに関して個別記載を追記しましたが、提示症例において副作用が発症したと言う事ではありません。顎態パターンに応じた一般的な注意事項です。「リスク・デメリット」の説明も参考にして下さい(2021年10月追記)
特別な装置を用いずに治療した例

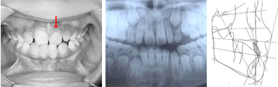
パノラマレントゲンで前歯部分に過剰歯などの異常が無いことを確認。セファログラムレントゲンの分析から、左上の1番目の永久歯(中切歯)が内側に入っていることが問題であることを確認。
その後、木ヘラ(アイスの棒など)を用いて、歯を外側に出すトレーニングを行いました。

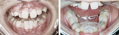
取り外しのできる簡単な装置で治療した例

各種検査で確認をした後に、上顎前歯を外に出すことが適当と判断された症例です。本人の性格やご家族の方の希望も考慮して治療方針が決定されます。取り外しのできる簡単な装置を用いて治療を開始しました。

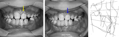
前歯の反対咬合と凸凹を解消した8歳

前歯の反対咬合と、それに合せて歯肉が下がっていることが心配されました。下顎の凸凹も問題でした。


上顎左側の2番目の永久歯(側切歯)が反対咬合です。まだ乳歯も多く残る歯並びですが、全体に凸凹が認められます。

反対咬合を解消した35歳の症例


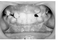
片顎のマルチブラケットで改善した9歳症例

前歯部分の凸凹は上下とも重度であった。乳歯の虫歯も多く、歯磨き練習も重要でした。

右上の2番を1本だけ抜歯しました

上顎の前歯が反対咬合で、部分的に歯を支える骨も減少していた。奥歯にインプラントも入っていたので、上顎前歯だけを改善したい状況であった。

左上の乳歯Eを1本だけ抜歯


一見すると、あまり難しい反対咬合には見えませんが、実は下あごを無理に後ろに押し下げている状態で普段過ごしています。そのため、顎の関節に不具合が生じていました。
また、上顎には一部乳歯が残っているのですが、もう抜けそうになっていたので、その隙間をどうするかも問題となっていました。それに加え、上顎の2番目の永久歯(側切歯)が通常より幅が狭い「矮小歯」だったので、隙間が開いているなどの問題も重なっていました。
さまざまな問題をふくんでいたので、最新のCAD技術を応用した矯正治療分析ソフトを用いて治療計画を立てて、動画で治療経過予測を説明しています。
こちらに示しているのは治療開始時、手術直前予測、手術後予測の3段階静止画像ですが、実際のCADでは治療経過を動画で表現しています。
正面から見た
治療前、手術前、手術後の予測CAD
右斜めから見た
治療前、手術前、手術後の予測CAD
右横から見た
治療前、手術前、手術後の予測CAD
右横から見た
治療前、手術前、手術後の予測CAD
(表示を歯だけにして、前歯の変化をわかりやすくしました)

併用した長期経過症例 4歳

治療開始時年齢は6歳半でしたが、永久歯は1本もありませんでした。右上の乳歯Dから左上の乳歯Cまでが反対咬合の状況でした。

レントゲンの検査、家族暦などから骨格的な下顎前突の程度が大きいことがわかりましたので、オトガイ帽装置(チンキャップ)を使用することになりました。
この装置の使用効果についてはさまざまな論拠、発表がありますが、本院では直接的に下顎骨を小さくする効果は無いと考えています。しかしながら、他の装置の使用効果を高めたり、習癖を除去する効果があり、その結果上顎の本来の成長が得られて上下顎の大きさのバランス改善が得られると思われます。少しでも治療を楽しむため色付の装置も用意しています。

普段のかみ合わせのまま下顎を後ろに押し下げようと力をかけた場合、上顎前歯と下顎前歯がぶつかって上顎まで後ろに下げようとする力が働いてしまいます。そこで、チンキャップを使用する場合には前歯の干渉を避けるためにクリアプレートを併用しました。

1年後(7歳半)の口腔内 下顎前歯が抜け替わりましたが、反対咬合の状態です。

当院では患者様が安心できる矯正治療を目指しております。お口の状態が把握できない電子メールでのお問い合わせ、ご相談などは、逆にお悩み等を増やしてしまう可能性がございますので遠慮させていただいております。
ぜひ一度、ご来院いただいてのご相談をおすすめしております。
当院までのアクセス当院はJR南武線武蔵新城駅南口の駅前と通院にも大変便利です。バス・電車でご来院の患者様にも気軽にお越しいただけます。



装置使用開始4ヶ月目には反対咬合が解消されています。




























